Archivo de noticias emitidas por la Universidad Nacional de Itapúa
Archivo de noticias emitidas por la Universidad Nacional de Itapúa
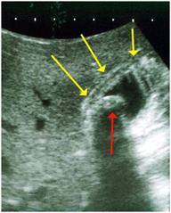
Prevalencia de litiasis vesicular asintomática en personal de blanco del HRE
![]() |
El Dr. Fabián Ruschel, Director de Docencia e Investigación de la Facultad de Medicina, informó que la universitaria interna Blanca Fabiola Martínez, presentó los resultados de su trabajo de investigación, realizado en los meses de agosto y setiembre del presente año.
La universitaria realizó un trabajo de investigación prospectivo de corte transversal en el personal de blanco del Hospital Regional de Encarnación (HRE), con una muestra de 55 funcionarios a los cuales se les realizo una ecografía abdominal, se encontró a 3 personas con litiasis vesicular asintomática, lo que representa una prevalencia de 5,45 %. Esta cifra es inferior a la que se menciona en la literatura que ronda el 10 %, pero resalta el estudio que la población estudiada correspondía a la segunda década de la vida y esto explicaría el bajo porcentaje, ya que la frecuencia aumenta en relación lineal con la edad.
El sexo de mayor prevalencia era el femenino con un 67 %, el mismo porcentaje de pacientes era de Encarnación y padecía de sobrepeso. Un dato muy importante es que ninguno de los pacientes con litiasis realizaba actividad física.
Según manifestó el Dr. Ruschel, este trabajo merece una mención especial, y se encuentra satisfecho con la producción de trabajos de investigación en la Facultad de Medicina, que desde este año realiza un gran esfuerzo para estimular al estudiantado a que se involucren en la investigación y extensión universitaria. Este tipo de trabajos prospectivos demanda de mucho esfuerzo por el investigador y congratula a la Universitaria.
Fuente: Departamento de Comunicaciones (Dcom)


